Servicios
Servicios
Servicios

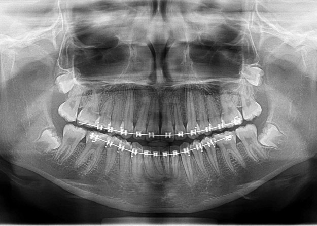
Técnica radiológica destinada a obtener una única imagen de las estructuras faciales que incluya las arcadas maxilar y mandibular, y sus estructuras de sostén.

Son una parte importante del tratamiento dental (tanto para adultos como para niños), ya que pueden detectar daño en los dientes y estructuras adyacentes  que no son visibles durante un examen visual de rutina.

 

Banner
Panorámica
Orden
6
Panorámica
Panorámica

Técnica radiológica destinada a obtener una única imagen de las estructuras faciales que incluya las arcadas maxilar y mandibular, y sus estructuras de sostén.

Son una parte importante del tratamiento dental (tanto para adultos como para niños), ya que pueden detectar daño en los dientes y estructuras adyacentes  que no son visibles durante un examen visual de rutina.